Tartalom
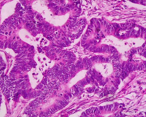
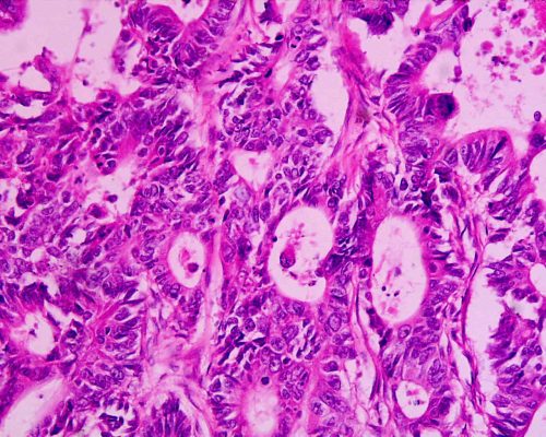
A végbélben kialakuló daganatoknak nincs csak rájuk jellemző, specifikus tünetei. Azt kell mondjuk,bármilyen végbéltáji panasz/tünet hátterében állhat rosszindulatú folyamat. Aranyeres panaszok, fájdalom, váladékozás, viszketés, csomó megjelenése, széklet-széltartási nehézség, puffadás, fogyás mind utalhat rosszindulatú betegségre, de a gyakorisági listát mégis két tünet vezeti: a végbélvérzés és a széklet milyenségének, a székelési szokásoknak a megváltozása. A végbélrák szűrése különösen e két tünet valamelyikével jelentkező páciensek esetén természetes proktológiai teendő. Ezen esetekben a szűrés nem székletvizsgálatot, hanem a vastagbél alsó 15-20 cm-es szakaszának tükrözéses vizsgálatát jelenti (rektoszkópia).



Mikor szükséges a teljesen tünetmentes emberek végbélrák irányában történő szűrése?
Két esetben. Az egyik a családi daganatos érintettség, a másik pedig a kiállt HPV fertőzés. Előbbi mindenkinek nyilvánvaló. Utóbbiról, a HPV fertőzésről pedig régóta tudja az orvosi szakma, hogy rákos folyamatot indíthat meg a végbélnyílás területén, mind nők, mind férfiak esetén. A szűrés fontosságát az húzza alá, hogy a gyógyulás esélye annál nagyobb, minél korábbi stádiumban kerül felfedezésre a rosszindulatú elváltozás. A szűrés fajtáját tünetmentes emberekben a Proktológus a rizikófaktorok figyelembevételével egyénre szabottan határozza meg. Ez a széklet-vér vizsgálattól kezdve, az általános anoszkópos vizsgálaton és a már említett végbéltükrözésen (rektoszkópián) át az úgynevezett high resolution anoszkópiáig (HRA) terjed, mely utóbbi is rendelőnkben rendelkezésre áll.
Jelentkezzen be végbélrák szűrésünkre telefonon, vagy online felületünkön!
Ha Ön is a fenti problémától szenved, kérjen időpontot szakorvosi konzultációra!
Jelentkezzen be most konzultációra online vagy telefonon!
Időpontfoglalás:
email: info@boc.hu
telefon: 06 30 870 7427, 06 30 372 6832
Szakrendelésünk árai itt érhetőek el.
Gyakori Kérdések a végbélrák szűrésről (GYIK)
1. Miért elengedhetetlen a végbélrák szűrés, és mik a figyelmeztető jelek?
A végbélben kialakuló daganatoknak a korai szakaszban nincsenek csak rájuk jellemző, specifikus tüneteik. Éppen ez rejti a legnagyobb veszélyt! A közhiedelemmel ellentétben szinte bármilyen hétköznapinak tűnő végbéltáji panasz (például vérzés, viszketés, indokolatlan fájdalom) hátterében meghúzódhat egy rosszindulatú folyamat. Ezért panasz esetén a szűrés azonnal, minden további nélkül indokolt.
2. Hogyan történik a szűrés a klinikán? Elég egy székletvizsgálat?
Nem, a megbízható és pontos szűrés a klinikánkon nem pusztán egy laboratóriumi székletvizsgálatot jelent. A végbélrák biztos kizárásához vagy a rákmegelőző állapotok (például polipok) felismeréséhez a vastagbél alsó 15-20 centiméteres szakaszának műszeres, tükrözéses vizsgálatára (rektoszkópia) van szükség. Ez a módszer ad azonnali, tiszta vizuális képet az orvos számára.
3. Mikor javasolt elmenni szűrésre akkor is, ha teljesen tünetmentes vagyok?
Tünetmentes állapotban is kifejezetten indokolt és életmentő lehet a szűrővizsgálat elvégzése két kiemelt esettípusnál. Az egyik a családi halmozódás, vagyis ha egyenesági rokonoknál előfordult már vastagbél- vagy végbélrák. A másik (kevésbé köztudott) ok pedig a beteg kórtörténetében szereplő, magas kockázatú HPV-fertőzés.
4. Milyen összefüggés van a HPV-fertőzés és a végbélrák között?
Az orvostudomány régóta bebizonyította, hogy a HPV (Humán Papillomavírus) nemcsak a hölgyeknél okozhat méhnyakrákot. A vírus képes kóros, rosszindulatú sejtburjánzást elindítani a végbélnyílás területén is, méghozzá mindkét nem (nők és férfiak) esetében egyaránt. Emiatt a lezajlott HPV-fertőzés után a rendszeres proktológiai rákszűrés kiemelt jelentőséggel bír.
5. Fájdalmas a szűrővizsgálat, és kik végzik?
Bár a tükrözés gondolata ijesztő lehet, aggodalomra semmi ok. A vizsgált szakaszon már nincsenek fájdalomérző idegek a bélfalban, így a vizsgálat jellemzően fájdalommentes, csak enyhe diszkomforttal jár. Klinikánkon a rákszűrést óriási tapasztalattal rendelkező, empatikus sebész-proktológus és onkológus szakorvosaink (Dr. Barta Tamás, Dr. Egri Gábor, Dr. Mikes Csaba, Dr. Oláh Csaba) végzik maximális diszkréció mellett.


